近日广东一男子去体检,医生看到其肝部遍布密密麻麻阴影,追问后发现可怕真相。

男子去体检肝部遍布密密麻麻阴影 医生追问发现可怕真相,30岁的何先生平时身体没有什么异常,最近他去单位组织的体检检查,结果吓了一跳。

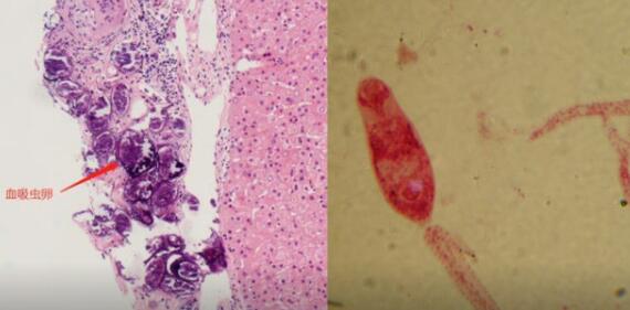
广东深圳何先生去做体检时医生发现其肝部有异常,进行肝穿刺后发现其肝脏内在大量血吸虫卵。

医生表示深圳本土没有吸血虫病例,仔细询问发现何先生可能是十多年前在湖北老家玩水感染所致。
依土耳其普遍存在的回教婚姻仪式,赔妻,指如果某人的妻子外逃,丈夫可向妻家索赔,妻家必须赔偿一笔钜额金钱,或者妻家推出一名未婚女儿为赔偿品,否则杀掉外逃的女儿以作回应。土耳其历史古迹最多的东部及东南地区,也是土耳其存在各种奇风..
2026-03-21据英国《太阳报》11月5日报道,近日发生了一件令人十分惋惜的事件,印度一名男子在吃下第42个鸡蛋的时候昏迷过去,最终抢救无效死亡。据了解,该男子名叫Subhash Yadav,42岁。当天,他和一个朋友一起来到印度北邦江布尔县的比比甘杰农贸市场..
2026-03-10未解之谜一:神秘失踪之迷人畜进入黑竹沟屡屡出现失踪和死亡事件,早有所闻,很多媒体也都披露过,人进去后是怎样失踪的,很多原因至今还是个谜。据不完全统计,自1951年至今,川南林业局、四川省林业厅勘探队,部队测绘队和彝族同胞曾多次在..
2026-02-09扫描二维码分享到微信或朋友圈